anug
网络释义:急性坏死性溃疡性龈炎(Acute Necrotizing Ulcerative Gingivitis);南洋大学毕业生协会(Association of Nanyang University Graduates);急性坏死溃疡性牙龈炎
网络释义
1.急性坏死性溃疡性龈炎(Acute Necrotizing Ulcerative Gingivitis)
3.急性坏死溃疡性牙龈炎起:例如急性疱疹齿银口腔炎由HSV-I感染所引起。急性坏死溃疡性牙龈炎(ANUG)则由梭状螺旋体所感染;口腔念珠菌亦会 …
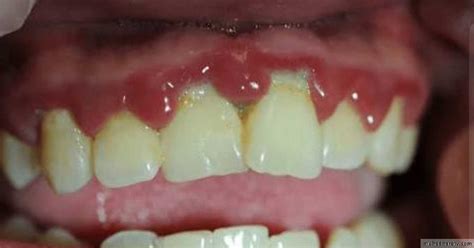
4.急性坏死溃疡性龈炎急性坏死溃疡性龈炎(ANUG)有很多命名。由于Vincent(奋森)于1898年首次报告,故称Vincent龈炎。
5.急性坏死性齿龈炎 急性坏死性齿龈炎(ANUG)是一种与应激有关的疾病。考试及人际关系紧张均可引起本病发生。
造句带翻译释义:,急性坏死溃疡性牙龈炎1.ANUG acute necrotizing ulcerative gingivitis急性坏死性溃疡性龈炎
